골다공증은 나이가 들면서 자연히 발생하는 질환 중 하나이지만 골절로 인한 합병증이 심각한 결과를 가져올 수도 있기 때문에 주의해야 합니다. 정기적인 골다공증 검사를 통해 골밀도를 점검해 보는 것이 필요한데요, 골다공증 검사와 골다공증 수치 확인하는 방법 정리해 보겠습니다.
골다공증 검사 비용
골다공증 검사는 외래 기준으로 급여 적용했을 때와 아닐 때에 비용에 차이가 있습니다. 보통 왜래 기준 급여 적용한다면 3~5만 원 정도이고 검진 목적으로 검사했을 때는 7~10만 원 정도인데 병원마다 차이가 있습니다. 검사하려는 병원에 직접 문의하시는 것이 가장 정확합니다.
아래 영상은 아산 병원에서 제공하는 골다공증 관련 내용입니다. 골다공증이 무엇인지 발생 원인과 치료 방법, 예방법 등에 대해 상세하게 안내하고 있습니다. 5분 이내의 영상이니 꼭 확인해 보시기 바랍니다.
아산 병원과 서울대학병원의 골다공증 검사 예약 정보도 링크로 첨부합니다.
만 65세 이상이라면 보건소에서 무료로 검사할 수도 있는데, 가까운 보건소를 아래에서 검색해서 바로 예약하시면 됩니다.
골다공증 수치
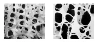
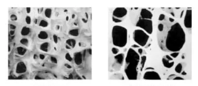
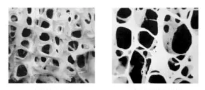
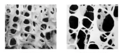
병원에서 골다공증 검사를 실시하면 개인별 골다공증 수치가 나옵니다.
골다공증 수치는 보통 'T 스코어(T score)'라고 불리는 값을 기반으로 측정됩니다. 이 수치는 개인의 뼈 밀도를 기준으로 평균 뼈 밀도와 비교하여 절대적인 수치로 나타낸 것입니다.
수치의 경우에는 -1 이상이 되면 정상이며 -1~-2.5 사이가 되면 골감소증으로 분류가 된다고 하는데요. 또한, T값이 -2.5 이하이면 골다공증으로 분류가 된다고 합니다.
정리하면 아래와 같습니다.
-2.5보다 작은 수치: 중증 골다공증
-1.0부터 -2.5 사이의 수치: 경도 골다공증
0 이상의 수치: 정상 범위
골다공증 검사가 필요한 이유는?
여성들은 폐경 이후 여성호르몬이 줄어들면서 골다공증에 매우 취약해집니다. 65세 이상인 여성분들의 대부분이 골다공증의 소견이 있다고 하는데요, 남성들도 예외는 아닙니다. 나이가 들면서 골밀도가 감소하기 때문에 골다공증이 생기기 쉬워집니다.



그 외에도
●갱년기가 시작된 여성
●가족 중에 관절질환 환자가 있는 경우
●당뇨병을 앓고 있는 경우
●스테로이드 성분의 항생제를 장기간 복용하는 경우
●잦은 음주와 흡연
●운동부족
등은 골다공증을 심화시키는 원인이 됩니다.
내가 만약 골다공증 위험 요소를 갖고 있다면 정기적인 골다공증 검사를 받는 것이 좋습니다.
🔎다른 글 더 보기
KB 평창 카운티 실버타운 노인복지 주택 보증금 3천만원 KB골든라이프 케어
KB골든라이프케어가 서울 종로구 평창동에 시니어 주거모델 평창 카운티를 선보였습니다. 흔히 실버타운 혹은 노인복지주택이라고 불리는 곳입니다. KB골든라이프케어의 특별한 주거 서비스 모
8.tngkr.com
대상포진 예방접종 가격 평균 가격과 저렴한 곳 확인 무료 접종 방법
대상포진 예방접종 가격은 같은 약이라도 병원마다 다 다릅니다. 왜냐하면 대상포진 예방접종은 건강보험으로 보장되지 않는 ‘비급여 항목’이기 때문입니다. 병원이 비용을 정할 수 있기 때
8.tngkr.com
훼라민큐 부작용 효과 가격 성분 갱년기 여성 영양제
훼라민 큐는 식물성 추출물을 활용해서 갱년기 증상을 완화시키도록 만들어진 약품입니다. 아마도 갱년기 영양제로 가장 익숙한 상품이 아닐까 싶은데요, 훼라민 큐의 효과와 부작용, 성분과
8.tngkr.com
'건강정보' 카테고리의 다른 글
| 식후 혈당 정상 수치와 식후 혈당 낮추는 방법 (0) | 2024.05.25 |
|---|---|
| 혈당유산균 효능 혈당유산균HAC01 제품 당큐락 특징 가격 (0) | 2024.05.19 |
| 폴리코사놀 추천 내돈내산 레이델 폴리코사놀 5 10 20 (0) | 2024.04.27 |
| 충치 치료 크라운 종류 가격 특징 치료과정 (0) | 2024.04.26 |
| 임플란트 가격 크라운 가격 확인하는 방법 지역별 병원별 건강보험심사평가원 (0) | 2024.04.21 |

